Che cos’è Invisalign ®?
Invisalign ® rappresenta un nuovo modo di concepire l’ortodonzia, un percorso di allineamento dei denti e/o correzione di una malocclusione confortevole, estetico e igienico per il paziente. Invisalign ® mette insieme l’estetica di un dispositivo che consente sia agli adulti che ai più giovani di mantenere la socialità, l’efficienza di ottenere nel più breve tempo possibile il risultato finale programmato e la tecnologia nell’utilizzo di un sistema molto evoluto.
Si tratta di allineatori trasparenti sequenziali che vengono realizzarti in copolimero da un laboratorio internazionale seguendo le indicazioni che vengono fornite attraverso un software digitale dall’odontoiatra specialista in ortodonzia.
Prima di tutto viene eseguita una scansione intraorale che consente in pochi secondi di acquisire la morfologia dei denti, laddove una volta si eseguivano fastidiose impronte. Tale acquisizione digitale estremamente precisa consente di avere i rapporti dentali su un computer e poter procedere alla realizzazione digitale dell’allineamento dei denti.
È possibile eseguire una simulazione che il paziente potrà visionare prima della realizzazione degli allineatori.
Quanto dura un trattamento?
La durata del trattamento con Invisalign ® varia a seconda della malocclusione, generalmente da 12 ad un massimo di 24 mesi. La progettazione digitale degli spostamenti dei denti in 3D permette di ottimizzare i tempi del trattamento rispetto all’ortodontia tradizionale. Fondamentale è sempre la collaborazione del paziente, adulto o bambino.
Gli allineatori Invisalign ® andranno indossati 22 ore al giorno, rimuovendoli soltanto durante i pasti, verranno cambiate ogni 7 giorni circa a secondo del caso; man mano che si cambia allineatore i denti si sposteranno, lentamente e in maniera graduale. Il fatto che siano rimovibili rappresenta un grosso vantaggio perché consente di mantenere un elevato controllo di igiene, cosa non è sempre facile con l’ortodonzia tradizionale.
I controlli in studio di solito sono ogni 6/ 8 settimane. Quindi il paziente riceverà un numero di allineatori che cambierà autonomamente a casa; tutte le indicazioni verranno fornite dallo studio.
Invisalign ® Teen (Adolescenti)
Nei pazienti adolescenti tra i 12 e i 16 anni il sistema Invisalign ® ha trovato largo utilizzo. Permette infatti nei pazienti più giovani di conciliare la richiesta estetica di un dispositivo che si vede il meno possibile, al fatto di ottenere un risultato il più veloce possibile.
La domanda che spesso mi viene fatta dai genitori é: “ Riuscirà mio figlio a portare l’allineatore senza perderlo o dimenticarlo?”. Invisalign® va concepito come un dispositivo fisso, cioè va indossato 22 ore al giorno. Per tale motivo è difficile dimenticarlo, si è sempre abituati ad averlo.
Invisalign ® First ( Bambini)
I bambini a partire dagli 8/9 anni solitamente presentano una dentatura mista, cioè in bocca sono presenti denti da latte e alcuni denti permanenti. A questa età l’ortodonzia viene chiamata Ortodonzia Intercettiva, cioè sfrutta la crescita della mascella e della mandibola per creare e distribuire lo spazio nelle arcate perché ci stiano tutti i denti permanenti.
In determinate situazioni cliniche a questa età può essere conveniente l’utilizzo del sistema Invisalign ®, chiamato First.
Questi allineatori di tipo speciale sono realizzati su misura per ogni piccolo sorriso e progettati per funzionare in modo efficiente, insieme allo sviluppo naturale dei denti e delle ossa della mascella.
La gestione dell’allineatore Invisalign ® è facile anche nei pazienti più piccoli, che riescono ad adattarsi in pochissimo tempo; non crea limitazioni di alcun genere nella dieta o nella fonetica; l’assenza di dispositivi metallici come i vecchi apparecchi, aumenta l’efficienza del dispositivo, quindi meno appuntamenti in studio. La gestione dell’igiene è sicuramente più semplice dell’apparecchio tradizionale.
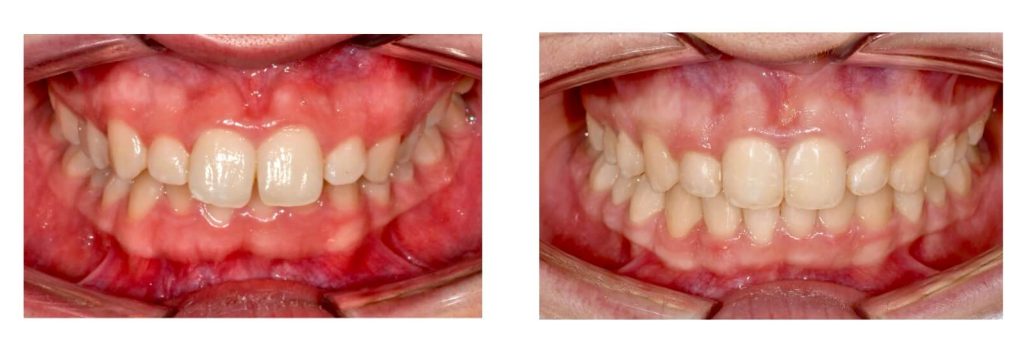
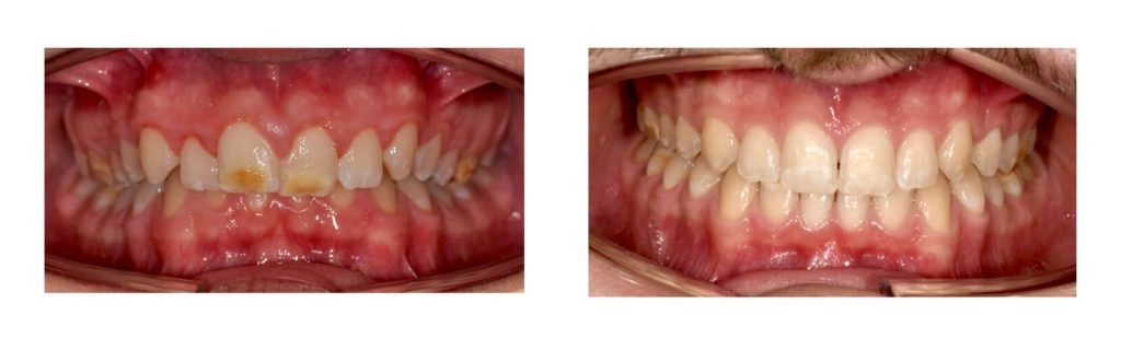
Il risultato finale che si ottiene con gli allineatori trasparenti è uguale a quello con l’ortodonzia tradizionale?
Questa domanda viene posta spesso, e pertanto merita una giusta risposta.
Grazie alle conoscenze e all’esperienza maturata dai professionisti negli anni, con una corretta pianificazione del trattamento ortodontico, il risultato finale è assolutamente sovrapponibile all’ortodonzia fissa con i brackets.
Anzi, talvolta grazie alla pianificazione digitale dello spostamento dei denti il trattamento può risultare più efficiente, cioè può permettere di raggiungere il risultato finale nel minor tempo possibile.
Alcuni risultati ottenuti con gli allineatori trasparenti Invisalign ®


