Che cos’è l’ortodonzia intercettiva?
L’ortodonzia intercettiva è quella parte dell’ortodonzia che si propone come obiettivo quello di correggere precocemente, in dentizione decidua od in dentizione mista, le anomalie dento-maxillo-facciali. Ciò permette di ridurre la necessità di trattamenti ortodontici complessi in età più avanzata.
L’American Association of Orthodontics raccomanda una visita dall’ortodontista in età precoce perché i bambini sono in una fase di crescita rapida e beneficiano di apparecchi che bilanciano il rapporto tra mascellare superiore e inferiore.
Alcuni dei risultati del trattamento precoce intercettivo sono:
- creare spazio per denti affollati in eruzione;
- ottenere una simmetria facciale influenzando la crescita facciale;
- ridurre il rischio di trauma su incisivi superiori protusi;
- preservare lo spazio per denti ancora non erotti;
- diminuire la necessità di estrazioni di denti permanenti;
- ridurre il tempo di trattamento dell’ortodonzia in dentatura permanente.
Esempi di ortodonzia intercettiva
Vediamo nella pratica quelle che sono le situazioni cliniche nelle quali normalmente si rende necessario un trattamento ortodontico intercettivo in dentatura mista (denti da latte e permanenti).
Cross bite dei denti anteriori
Cross bite dei denti posteriori
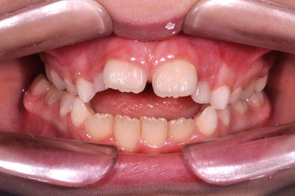
Affollamento severo arcata inferiore
Morso Aperto (Open bite) anteriore
Morso Profondo (Deep bite)
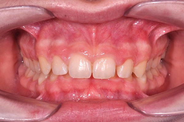
Overjet aumentato con incisivi superiori molto sporgenti (così detto aspetto del Brutto anatroccolo)
Il trattamento ortodontico nel bambino con “denti sporgenti” consente, ottimizzando il tempo di utilizzo delle apparecchiature, di ridurre il rischio di frattura traumatica dei denti anteriori, di migliorare l’estetica e di aumentare l’autostima del paziente (riducendo le conseguenze del bullismo di coetanei tipico di queste condizioni).
Dopo aver effettuato la visita, spesso vengono richieste le radiografie specifiche per poter effettuare un corretto piano di trattamento. Tali radiografie sono la ortopantomografia delle arcate dentarie (OPT), per poter vedere se son presenti tutti i germi dei denti permanenti e una teleradiografia latero laterale che ci consente di vedere come si rapportano scheletricamente la mandibola e la mascella tra di loro e rispetto alla base del cranio, consentendo all’ortodontista di fare un tracciato cefalometrico. Questi esami possono essere effettuati nella nostra struttura, a Bologna, con i più moderni macchinari, con emissione molto bassa di dose radiante.
È opportuno sottolineare l’importanza di tali esami che sono INDISPENSABILI per poter effettuare una diagnosi e un piano di trattamento.
La loro richiesta è un indice di professionalità da parte dell’ortodontista.
È bene sottolineare che il trattamento di ortodonzia intercettiva ha l’obbiettivo di guidare l’eruzione dei primi denti permanenti e indirizzare la crescita del mascellare. Questa fase NON elimina la necessità di un trattamento di ortodonzia fissa nell’adolescenza, ma ne riduce sensibilmente il livello di gravità e la durata del trattamento futuro.